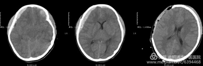
近日,一名儿童不慎从约4米高空跌落,家属及时送到我院,经检查,小孩头颅CT见少量硬膜外血肿及额叶脑挫伤,且神志清醒。翌日,由于颅内出血脑疝导致患儿突发意识障碍,神志昏迷,对光反射迟钝,随时有生命危险,肿瘤科医生立即展开术前讨论。经研究,决定立即为患儿实施硬膜外血肿清除术+去颅骨瓣减压术,住院医师凌征龙历时4个小时成功完成手术,患儿生命体征正常,神志清醒,四肢肌力正常,目前在康复治疗中。(通讯员/肿瘤科 凌征龙)

友情链接:
24小时行政总值班:0870-2230658
24小时急救电话:0870-2120120
联系电话:0870-2233331 地址:云南省昭通市昭阳区团结路26号
版权所有 Copyright © 昭通市中医医院 滇ICP备20001378号-4 本站部分素材源于网络,如有侵权,请联系作者删除!
技术支持:川海科技