近日,我院肿瘤科主任李庭军与刚从华西医院神经外科进修归来的住院医师凌征龙,共同完成了我院首例去颅骨瓣减压术+脑内血肿清除术。
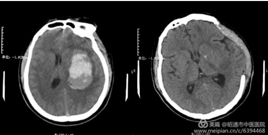
一患者因"突发右侧肢体偏瘫伴失语3小时"送入我院急诊科,入院时血压 177/118mmHg,神志嗜睡,不能对答,查体不完全配合。肿瘤科急会诊后收住入院,但家属拒绝手术,要求保守治疗。两日后,患者病情加重,神志昏迷,左侧瞳孔散大固定,直径约7mm,对光反射迟钝,急查头颅CT后提示:左侧基底节区出血灶范围较入院增大,左侧侧脑室受压较入院明显。李主任紧急召开了病例讨论,在征得家属同意后决定立即行去颅骨瓣减压术+脑内血肿清除术。术后患者双侧瞳孔大小恢复正常,对光反射敏感,并转入我院重症医学科进一步治疗,后经我院中医康复治疗,病情稳定好转出院。
高血压性脑出血是高血压病最严重的并发症之一,是脑底小动脉在病变后,血压骤升时破裂所致。过去我院对此类病人都是保守治疗。而今,我院已能行高血压性脑出血手术治疗,将来还会开展高血压脑出血微创治疗,同时,还开展了部分颅内肿瘤切除术及重型颅脑损伤综合救治等。形成了精密的检查治疗设备、精湛的手术技术以及精心的术后中医康复理疗一体化的生命健康全程关怀体系,充分体现了我院"以患者为中心"的服务理念。(通讯员/肿瘤科 凌征龙)

治疗前 治疗后
友情链接:
24小时行政总值班:0870-2230658
24小时急救电话:0870-2120120
联系电话:0870-2233331 地址:云南省昭通市昭阳区团结路26号
版权所有 Copyright © 昭通市中医医院 滇ICP备20001378号-4 本站部分素材源于网络,如有侵权,请联系作者删除!
技术支持:川海科技