近日,我院南顺城疼痛科邀请昆明医科大学第一附属医院宋恩教授,共同为一名45岁女性患者成功实施后路脊柱内镜下颈椎间盘脱出髓核摘除术。

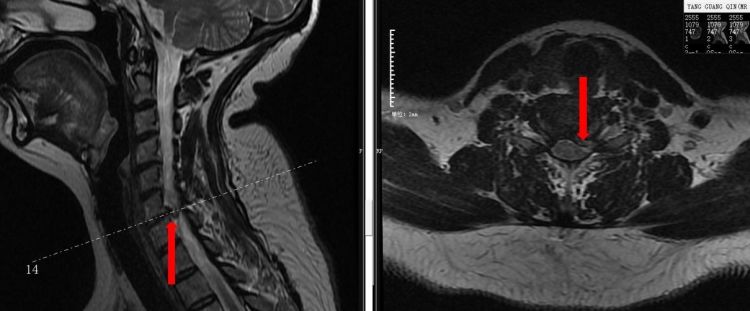
据悉,患者杨某某因“突发颈肩部疼痛伴左上肢放射痛1周”,在当地行非手术治疗4天症状无改善,到我院南顺城医院疼痛科就诊,经诊查后考虑为“神经根型颈椎病”并办理入院治疗。入院后进一步完善患者颈椎X片,CT及颈椎核磁,患者影像学表现与临床表现相符合,进一步明确诊断并拟定手术方案。因颈椎间盘手术风险相对较大,杨经慧主任医师及彭杉刚副主任医师带领团队进行认真术前诊查,术前讨论,排外手术禁忌症,缜密规划手术方案及应急预案。在相关科室的密切配合下开展了左侧C5/6椎间盘脱出伴神经根受压“后路脊柱内镜下椎板减压+椎管成形+椎间盘摘除+神经根粘连松解术”,手术顺利完成。术后第1天,患者因神经根受压导致的左上肢放射痛消除,手术效果明显。

该手术的成功实施,填补了我院疼痛科此项技术的空白,为微创治疗颈椎间盘的治疗开辟了新的途径,也标志着我院疼痛科诊疗技术迈上了新台阶。昭通市中医医院疼痛科将继续努力,坚持以患者为中心的服务宗旨,充分发挥专科特色和优势,以精湛的医术、优质的服务,更好地帮助患者减轻病痛、恢复健康。(供稿/南顺城医院疼痛科 季能博)
【温馨提醒】
我院南顺城疼痛科,长期开展如三叉神经痛、带状疱疹后遗神经痛、椎间盘突出的微创射频消融手术;脊柱源性疼痛的手术与非手术治疗;关节退变的置换手术、非手术的微创介入疼痛治疗;肌骨超声引导下的精准疼痛介入治疗;以及失眠、偏头痛、头晕等疾病诊治;中医相关如针刺、艾灸、拔罐治疗、中药熏洗、塌渍、棍针等30余种不同治疗项目,针对不同复杂的疼痛病因给予针对性的治疗方式。致力于为患者解除疼痛,治疗疾病,让患者不用忍受病痛,提高生活质量。
【昭通市中医医院南顺城医院疼痛科就诊咨询方式】
联系电话:0870-2234654
门诊地址:昭通市中医医院南顺城医院南顺城273号门诊楼3楼
住院地址:昭通市中医医院南顺城医院南顺城273号住院楼3楼
联系电话:0870-2124382,杨主任:13187541349
友情链接:
24小时行政总值班:0870-2230658
24小时急救电话:0870-2120120
联系电话:0870-2233331 地址:云南省昭通市昭阳区团结路26号
版权所有 Copyright © 昭通市中医医院 滇ICP备20001378号-4 本站部分素材源于网络,如有侵权,请联系作者删除!
技术支持:川海科技